Что делать если близкий злоупотребляет наркотиками?
В последнее время особенно актуальна стала проблема зависимости, причем она коснулась не только взрослых людей, но и младшее поколение, которое...
SMM продвижение Apple Music дешево, с гарантией от РосМедиа в Москве
Apple Music – самая полярный музыкальная площадка современности во всем мире. Нахождение в первых строках вашей композиции – это отличный...
Женская бижутерия — тренды текущего года
Современная мода сломала уже не один стереотип, касающийся не только правил ношения одежды, но и аксессуаров. Драгоценные металлы уступили место...
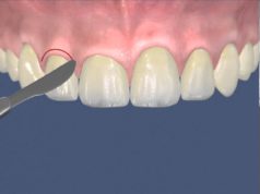
Восстановление десен: пластика мягких тканей полости рта
В настоящее время практически у каждого человека имеются какие-то проблемы со здоровьем полости рта, причем основные факторы, которые оказывают воздействие...
Использование керамических брекетов для исправления прикуса
Сейчас у большого количества людей имеются какие-либо проблемы с состоянием здоровья, развитие которых может только лишь усугублять проблему. При этом...










