Методы лечения артрита
Артрит – это воспалительный процесс, который сопровождается острыми болями в суставах. Лечение артрита необходимо начать с выяснения причины его появления....
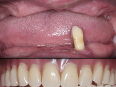
Что представляет собой имплантация All-on-4?
Рано или поздно проблема с зубами может быть актуальной для большого количества людей. Не редко потеря зубов характерна не только...
Преимущества лечения каналов под микроскопом
Зубы – это одна из главных проблем многих людей на сегодняшний день. Каждый человек испытывал боль в зубах и не...
Что представляет собой продукция Вита Ра?
Сейчас можно найти массу всевозможных препаратов и средств, которые обещают настоящее излечение от каких-то болезней, но в целом их проблема...
Какие заболевания лечит хирургическая стоматология?
Большинство людей уверены, что хирургическая стоматология ограничивается удалением зубов. Но это не так, данная область намного шире. Современная хирургическая...











