Наркомания: лечение в стационаре
Наркомания - проблема, которая беспокоит многих людей на сегодняшний день. Это не просто дурная привычка - это опасная и очень...
Лучшие медицинские центры в Ялте
Для многих из нас является очень важным отдых после тяжелых рабочих месяцев, поэтому в отпуска хочется оправиться куда-то, где можно...
Как происходит детоксикация при алкоголизме?
Детоксикация является важной частью лечения больного алкоголизмом. Эта процедура очищает кровь и органы от метаболитов этанола, предотвращая опасные последствия. Рекомендуем...
Какие услуги предоставляет наркологическая клиника?
В настоящей жизни очень велика вероятность приобретения какой-либо вредной привычки человеком. Однако такие привычки могут быть не то что бы...
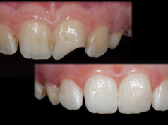
Виды реставрация зубов
Термин "реставрационная стоматология" относится к комплексной терапии заболеваний полости рта и приведению ее в функциональное и эстетическое положение. Стоматологи в...











