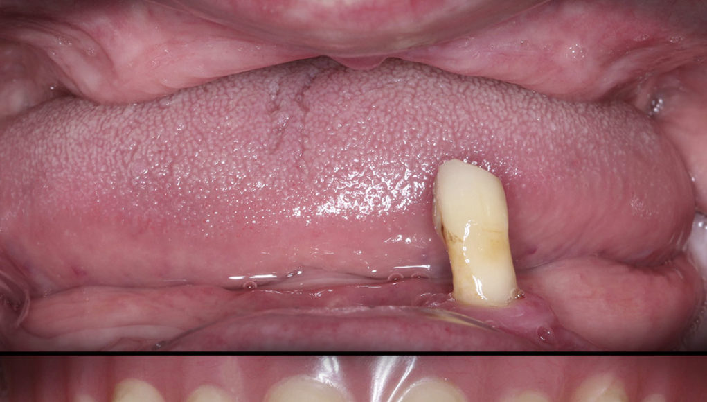
Рано или поздно проблема с зубами может быть актуальной для большого количества людей. Не редко потеря зубов характерна не только для людей старшего возраста, но и для молодых. Отсутствие зубов может вызвать как психологический дискомфорт, так и не возможность нормально питаться, нарушается зубочелюстная система и даже могут из-за этого появиться мимические морщины. Но all on 4 система сможет помочь решить эту проблему многим.
Стоит отметить, что не так давно единственной возможностью восстановления зубов, которые отсутствуют были зубные протезы, которые снимаются, которые нередко доставляли еще больше дискомфорта, чем отсутствие зубов, либо был вариант установки имплантатов, которые обходятся очень и очень дорого.
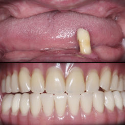
И здесь концепция all on 4 стала отличным промежуточным вариантом, который будет интересен многим. Ведь он удобен в использовании и имеет относительно невысокую стоимость. Такая технология может применяться как для восстановления полного зубного ряда, так и в том случае, если свои зубы целесообразнее будет удалить, чем лечить.
Нагрузка на зубы здесь может быть осуществлена практически сразу или же максимум на третий день.
Факторы, которые могут являться показаниями для использования данной технологии:
- отсутствие абсолютно всех зубов;
- когда отсутствует большее количество зубов, а также наличие зубов, которые подлежат удалению.
Также, стоит отметить, что здесь необходимо соблюдение особых условий:
- необходимо, чтобы у больного было нужное количество костной ткани (ширина не менее 5мм, а высота не менее 8-10мм). В том случае, если состояние челюсти не соответствует требованиям, то метод не может быть применен.
Технология сводится к использованию четырех имплантатов, два имплантата находятся вертикально в передней части челюсти, а другие два располагаются под углом до сорока пяти градусов в боковом, а также могут располагаться в дистальном отделе.
all-on-4 проводится в один этап, ведь сразу после установки имплантатов, к ним тут же или же в течение трех дней после того, как будет произведено вживление, крепится протез, который является несъемным, состоящий из акрила. Такой метод еще называют немедленной нагрузкой. Это отличное решение для многих.










