Скорость – твое основное преимущество в спортивном состязании!
Скорость – отменное качество, о котором мечтает любой спортсмен. Но возможность быстро двигаться дана нам от природы и зависит от...
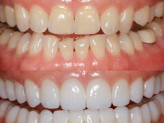
Реставрация зубов: показания и противопоказания
Реставрация зубов от компании «Дентал Студия» — это процесс восстановления и коррекции, прежде всего функциональных, и только потом эстетических параметров...
Преимущества партнерства с Greenway
В современном мире компания Greenway пользуется популярностью. Стать партнером Гринвей-это значит обеспечить себе светлое будущее. Партнерство Greenway обладает большим количеством...
4K QLED телевизор Samsung: плюсы и минусы приобретения
В Советском союзе телевизор считался предметом роскоши, вещью, на которую долго копили, при этом на потребительском рынке выбор был небольшой....
Бонусы в букмекерской конторе Parimatch
Бонусы Париматч действительно делают данную букмекерскую компанию невероятно актуальной и востребованной. Ведь после первого же пополнения счета вы сможете получить...










