
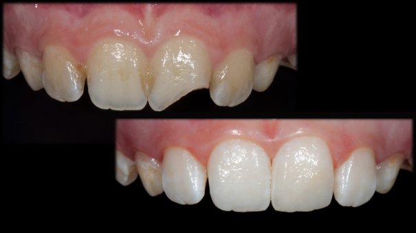
Термин «реставрационная стоматология» относится к комплексной терапии заболеваний полости рта и приведению ее в функциональное и эстетическое положение. Стоматологи в качестве общего профиля могут выполнять многие из процедур реставрационной технологии без дополнительного образования и сертификации. Поэтому будьте осторожны. Сейчас процедура реставрация зубов виды предлагает разные, поэтому клиенту предоставляется возможность восстановления былой улыбки. Относительно характера повреждений зубов, стоматолог выполнит один из видов реставрации.
Прямое восстановление зуба
Подразумевает установку пломбы в подготовленную полость зуба. Эту процедуру можно выполнить за один визит в офис. Ваш стоматолог может выбрать один из различных вариантов пломбирования в зависимости от типа и расположения пломбы. Например, стекло или иономеры смолы часто используются для замещения вблизи корня зуба или в других местах, не подверженных сильному жевательному давлению.
Косвенная реставрация
Включает изготовление коронок, вкладок или вкладок на заказ. Заводная головка закрывает всю поверхность. Косвенное восстановление требует несколько помещений стоматолога, так как инкрустация или футеровка должны быть сделаны в лаборатории. Короны, вставки и накладки могут быть изготовлены из различных материалов. Золото до сих пор применяется для инкрустаций, но для тех, кто беспокоится о белых зубах, фарфоре и композитных смолах в цвете зуба, есть и другие варианты.
Реставрационную стоматологию называют протезированием. В независимости от того, какой именно использует стоматолог при консультации с клиентами термин, — «реставрационная стоматология» или «протезирование», целью является максимальное сохранение естественных зубов.
Стоимость реставрации зубов и страховки
Также следует помнить, что большинство планов страхования зубов в настоящее время не покрывают расходы на зубные имплантаты. Они могут быть застрахованы в рамках Вашей медицинской страховки в зависимости от причины выпадения зубов и наличия других сопутствующих заболеваний. Поговорите с вашим стоматологом, чтобы определить оптимальную стратегию укрепления здоровья полости рта.










